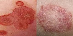
Manfaat obat kurap - Apakah anda tahu apa itu kurap dan bagaimana cara mengobatinya. biasanya penyakit kurap diGejala penyakit kurap pada kulit yang sering terjadi adalah ruam kemerahan dengan bentuk cincin yang mempunyai garis batas yang tiidak teratur. Selain itu, ruam ini juga menimbulkan rasa yang sangat gatal dan akan menyebar pada bagian tubuh yang lain. Jika terjadi pada pria muda, biasanya kurap akan sering muncul pada daerah selangkangan.
Manfaat obat kurap

Penyebab penyakit kurap pada kulit adalah karena adanya serangan jamur dermatofit yang bertahan hidup pada kulit kita. Jamur ini biasanya hidup dari keratin yang menjadi bahan utama jaringan lapisan kulit, rambut, dan juga kuku manusia. Selain itu, penyebaran spora jaur tadi bisa terjadi lewat kontak langsuung dengan manusia, hewan, objek, dan bahkan tanah. Dan selain itu, terdapat beberapa kelompok orang yang mempunyai resiko jauh lebih tinggi untuk bisa terserang penyakit kurap. Dan diantaranya adalah anak-anak, lansia, dan mereka yang mengalami obesitas, penderita penyakit diabetes tipe 1, dan bahkan mereka yang mengalami aterosklerosis, orang yang sudah pernah mengalami infeksi jamur sebelumnya, serta mereka yang mempunyai sirkulasi darah buruk, dan mereka yang mempunyai sistem kekebalan tubuh menurun misalnya pada pendrita penyakit HIV AIDS, serta pada pengguna tablet steroid.
Biasanya dokter akan menegakkan diagnosis hanya dengan melihat dari bentuk ruam yang muncul saja pada penyakit kurap pada kulit. Namun jika membutuhkan konfirmasi lebih lanjut lai, maka biasanya dokter akan melakukan beberapa pemeriksaan secara mendetail yang lain. Misalnya adalah :
Penelitian sampel kulit
Manfaat obat kurap - Dokter biasanya akan mengambil sampel kulit Anda supaya bisa diperiksa di laboratorium. Dan proses ini biasanya akan membantu untuk bisa mengonfirmasi apakah Anda mengidap penyakit kurap pada kulit atau juga sejenis penyakit kulit lainnya. Pengobatan yang dilakukan biasanya adalah pemberian obat antijamur yang biasanya hanya sementara waktu saja sambil menunggu hasil laboratorium.
Sinar UV
Cara lain yang bisa dilakukan adalah dengan melakukan pemeriksaan infeksi dengan cara menggunakan sinar UV. Dan jika kulit yang mengalami infeksi berpendar saat sedang tersorot oleh sinar UV, maka hal ini mengindikasikan bahwa adanya serangan jamur.
Cara mencegah penyakit kurap pada kulit yang bisa dilakukan adalah :
- Bersihkanlah tempat yang sering digunakan dalam kehidupan sehari-hari, misalnya adalah seperti kamar mandi. Karena kamar mandi merupakan tempat yang lembab dan sering dijadikan oleh sumber penyakit kurap pada kulit.
- Bersihkanlah tempat tidur Anda baik dari sprei dan juga bantal
- Gunakanlah pakaian yang bersih serta gantilah setiap hari
- Hindarilah kontak langsung dengan si penderita penyakit kurap pada kulit
- Jangan menggunakan alat yang sama dengan penderita misalnya baju atau juga handuk
Lengkuas
Lengkuas merupakan salah satu jenis tanaman yang banyak hidup didaerah tropis Indonesia. Tanaman ini merupakan salah satu jenis bumbu dapur yang banyak ditemukan saat sedang mengolah makanan. Dan selain itu juga bubu masak seperti lengkuas mempunyai manfaat dan khasiat yang baik bagi kesehatan. Tanaman ini bisa dimanfaatkan dalam membantu mengobati penyakit kulit seperti penyakit kurap pada kulit.
Cara meramu ramuan ini adalah ambillah 1 lengkuas, dan setelah itu potonglah ujungnya, kemudian tumbuklah ujungnya jangan sampai hancur, seperti menyerupai kuas, setelah itu celupkanlah pada air cuka. Oleskanlah didaerah yang terkena penyakit kurap pada kulit. Cara ini dapat dilakukan 2 kali dalam sehari dan teratur. Lakukanlah hingga kurap benar-benar sembuh.
Bawang putih
Penyakit kurap pada kulit bisa diobati dengan menggunakan bawang putih. Bawang putih adalah salah satu jenis bumbu dapur yang biasanya digunakan sebagai bahan untuk memasak. Dan biasanya jika ada bawang putih, maka ada bawang merah untuk bumbu masakan. Tanaman ini mengandung senyawa sulfur didalamnya sehingga bawang putih yang masih mentah, biasanya mempunyai rasa yang agak getir. Dan bawang putih juga biasanya bisa digunakan untuk pengobatan, yakni salah satunya adalah membantu mengatasi penyakit kurap.
Cara meramu ramuan ini adalah : ambillah beberapa siung bawang putih setelah itu ditumbuk sampai halus. Kemudian oleskanlah di daerah yang terkena penyakit kurap pada kulit sampai merata. Setelah itu, diamkanlah kurang lebih selama 30 menit dan dibilas dengan menggunakan air bersih. Lakukanlah cara ini teratur 2 kali sehari sampai penyakit kurap bisa menghilang.
Belerang
Belerang banyak ditemukan pada daerah dataran tinggi vulkanik atau penggunungan yang bersumber dari mata air alami yang ada disana. Dan belerang juga banyak ditemukan pada toko-toko karena memang dijual. Belerang bisa dimanfaatkan sebagai alternatif yang bisa membantu mengobati penyakit kurap pada kulit. Dan selain itu juga belerang biasanya berguna untuk membantu mengatasi gatal-gatal.
Kami DE NATURE INDONESIA Berusaha
Membantu Anda Mendapatkan Obat Herbal Untuk Penyakit Gatal Eksim Gatal selangkangan Paha Herpes Gatal Panu Dan Gatal Lainya

Ampuh Tanpa Efek Samping 3-5 hari Sudah Mulai Sembuh
Insya Allah Masalah Teratasi..!
KONSULTASI DAN PEMESANAN HUBUNGI 087782866277
Berikut adalah pasien yang menggunakan obat Gatal Selangkangan
08137267xxx , selamat malam pak alhamdulilah gatal eksin di kemaluan saya sudah sembuh dan sudah tidak ada bintik merahnya , obatnya masih ada apakah dihabiskan saja , trimakasih pak saya bisa sembuh , saya mau pesan lagi untuk obat cairnya
08213776xxx (maaf, disamarkan)
Teman saya pernah terkena gatal eksim, sangat mengerikan. Tiap hari gatal pokoknya tersiksa sekali. Tapi setelah minum obat sipilis, dalam waktu 2 hari sudah kering. Mantap banget !!
08136566xxx (sms klien yang beli ke saya dari Surabaya)
Pagi mas, terimakasih banyak. Obat gatal yang saya beli kemarin emang bagus, teman saya dari batam juga mau beli. Sekali lagi terimakasih.
085247210xxx (sms dari Sampit Kalteng)
Alhamdulillah, sekarang saya sudah sehat mas. Saya menawarkan ke teman dan mau beli 4 paket ke Kal-teng. Terimakasih mas
082 137 766 xxx (maaf, nama disamarkan)
Untuk harga obat GATAL De nature Berapa ?
Cukup Dengan Rp295.000,-
>>Harga khusus Bulan Ini<<
KELEBIHAN BELANJA ONLINE PADA KAMI (DE NATURE INDONESIA)
- - Setiap penyakit berbeda obatnya, jd obat kami khusus untuk penyakit itu sendiri!
- - Harga lebih murah
- - Kualitas terbaik
- - Tanpa perlu pergi ke dokter (tidak malu saat ke dokter, hemat waktu, dll)
- - Tidak perlu disuntik
- - Masa penyembuhannya singkat
- - Proses obat hanya 6 jam
- - Proses pengiriman cepat dan aman
- - Hanya kami yang selalu mengutamakan ke puasan konsumen
- - Barang di kitim lewat Tiki, JNE Kilat dibungkus rapi
Cara Membeli Obat Herbal De Nature Secara Online
Tata Cara Pembelian :
Konfirmasi pembayaran melalui SMS ke 087782866277. Barang akan dikirim jika transfer sudah diterima. Silahkan melakukan pembayaran melalui transfer via bang di bawah ini.
Untuk Biaya Kirim/Ongkir :
Untuk Wilayah Pulau Jawa Rp 25.000,-
Untuk Luar Pulau Jawa Rp 45.000,-
Khusus Untuk Irian Jaya dan Madura Rp 85.000,-
Silahkan sebelum anda melakukan pembeyaran jumlahkan sendiri harga obat yang anda pesan ditambah dengan biaya kirimnya.
Agar pesanan Anda bisa segera diproses, segera konfirmasikan pembayaran Anda via SMS ke 087782866277
CARA PEMESANAN :
Pembayaran terlebih dahulu via transfer bank dan barang kami kirim melalui Tiki, JNE, POS. Silahkan sms/telp dan akan kami infokan no.rekening melalui sms.
KONFIRMASI PEMBAYARAN Dedy S#Rp 750.000# via Mandiri # 2 Paket
Obat gatal # Jl. Anggrek No.19 desa Rava Laut, Tanjung Karang, Lampung # Hp 08538925xxxx
Obat gatal # Jl. Anggrek No.19 desa Rava Laut, Tanjung Karang, Lampung # Hp 08538925xxxx
Bukti Resi Pengiriman
Dijamin Barang Sampai Tujuan
Kalau Tidak Sampai
Uang Kembali 100%
*INFORMASI SELENGKAPNYA*
Jika anda masih kurang jelas silahkan kontak kami langsung via Tlp/Sms 087782866277
Barang DIJAMIN sampai ke rumah anda. Hubungi kami apabila menginginkan bukti nomor (resi) pengiriman. No.resi pengiriman saya smskan. Cek resi pengiriman di www.jne.co.id atau diTiki www.tiki-online.com
Jika anda sudah mengerti cara transaksinya, silahkan sms kami. Tapi jika anda tidak percaya dan takut ditipu mohon jangan sms/tlp.
Trimakasih atas kunjungan anda, Salam sehat...........
Demikianlah artikel tentang Mengobati Gatal Di Selakangan kami selalu memberikan solusi untuk mengobati berbagai macam jenis penyakit gatal selangkangan secara herbal, aman, dan tanpa efek samping. Apabila anda punya kenalan atau saudara anda yang sedang mengalami sebuah penyakit kronis segera hubungi kontak kami via sms / telepon, Insya alloh kami bisa membantu.
Melayani Pengiriman
Keseluruh Dalam Negeri Maupun Luar Negeri
**Pesanan dalam waktu singkat Pasti Sampai ketempat Anda**
KEPUASAN PELANGGAN ADALAH PRIORITAS UTAMA KAMI .
Anda baru saja membaca artikel kesehatan
yang di ulas oleh pengobatan herbal de nature di situs
SEPARAH APAPUN PENYAKIT YANG ANDA DERITA DAPAT DISEMBUHKAN JIKA ANDA MAU BERUSAHA MENGOBATINYA!!
KONTAK KAMI
Call/Sms

XL:087782866277
Pin BBmBy Request
(Layanan Konsultasi dan Pemesanan 24 jam)
SEGERA SEMBUHKAN PENYAKIT ANDA SEBELUM PARAH
UANG BUKANLAH SEGALANYA
NAMUN KESEHATAN HARUS DI UTAMAKAN
Tidak ada komentar:
Posting Komentar